درمان پای پرانتزی چقدر طول میکشد ؟ راهنمای جامع مدتزمان، عوامل و روشهای درمانی
پای پرانتزی، یا ژنو واروم (Genu Varum)، وضعیتی است که در آن زانوها از یکدیگر فاصله گرفته و مچ پاها به هم نزدیک میشوند و در نتیجه پاها شکلی شبیه به پرانتز ( ) به خود میگیرند. این عارضه در کودکان خردسال تا حدودی طبیعی است و اغلب با رشد کودک خودبهخود برطرف میشود. با این حال، در برخی موارد، ممکن است این حالت ادامه پیدا کند یا حتی در بزرگسالان به دلیل عوامل مختلفی مانند بیماریهای زمینهای، آسیبها یا کمبود ویتامینها ایجاد شود. یکی از رایجترین سوالاتی که افراد مبتلا یا والدین آنها میپرسند این است که «درمان پای پرانتزی چقدر طول میکشد؟» پاسخ به این سؤال ساده نیست، زیرا مدتزمان بهبودی به عوامل متعددی بستگی دارد که در این مقاله به تفصیل به آنها خواهیم پرداخت.
مقاله ی درمان پای پرانتزی چقدر طول میکشد ؟ به منظور ارائه یک دیدگاه جامع و واقعبینانه در مورد طول دوره درمان پای پرانتزی نوشته شده است. ما به بررسی دقیق عواملی خواهیم پرداخت که بر این بازه زمانی تأثیر میگذارند، از جمله سن بیمار، شدت انحراف و روش درمانی انتخابشده. از فیزیوتراپی و تمرینات اصلاحی گرفته تا بریسها و مداخلات جراحی، هر روش درمانی دارای جدول زمانی خاص خود است. با مطالعه این راهنما، میتوانید با درک بهتری از مسیر درمانی خود، انتظارات واقعبینانهای داشته باشید و برای رسیدن به بهترین نتیجه، با صبر و پشتکار به توصیههای پزشک خود عمل کنید.
عوامل تعیینکننده مدت زمان درمان پای پرانتزی
مدتزمان لازم برای درمان پای پرانتزی یک عدد ثابت و مشخص نیست و به عوامل متعددی وابسته است. سن بیمار، یکی از مهمترین این عوامل است. در کودکان، که اسکلت بدن آنها هنوز در حال رشد و شکلگیری است، روند اصلاحی معمولاً سریعتر و آسانتر است. پای پرانتزی فیزیولوژیک در کودکان زیر دو سال اغلب نیازی به درمان ندارد و در بیشتر موارد به طور خودبهخود با رشد کودک بهبود مییابد. اگر انحراف تا سن بالاتر ادامه یابد، استفاده از روشهای غیرتهاجمی مانند فیزیوتراپی و بریس میتواند در مدت چند ماه تا چند سال به نتایج مطلوب منجر شود. در مقابل، در بزرگسالان که رشد استخوانی آنها کامل شده است، اصلاح انحراف پای پرانتزی معمولاً پیچیدهتر و زمانبرتر است و اغلب نیازمند مداخلات جدیتر مانند جراحی است. تشخیص دقیق توسط متخصص ارتوپد، اولین و مهمترین گام در تعیین یک برنامه درمانی واقعبینانه است. امروزه، روشهای نوین تشخیصی مانند دستگاه اسکن سه بعدی کف پا نیز به پزشکان کمک میکنند تا با ارزیابی دقیق biomechanics بدن، علت اصلی انحراف را شناسایی کرده و یک برنامه درمانی شخصیسازیشده ارائه دهند.
شدت انحراف و علت زمینهای نیز نقش حیاتی در تعیین مدت درمان دارند. انحرافهای خفیف ممکن است تنها با چند ماه ورزش درمانی یا استفاده از کفیهای طبی بهبود یابند، در حالی که موارد شدیدتر یا انحرافاتی که ناشی از بیماریهای خاصی مانند بیماری بلانت یا ریکتز (نرمی استخوان) هستند، به برنامههای درمانی طولانیمدت و ترکیبی از روشها نیاز دارند. به عنوان مثال، در بیماری بلانت، که رشد بخش داخلی استخوان ساق پا غیرطبیعی است، درمان باید همزمان با اصلاح این ناهنجاری رشدی صورت گیرد. بنابراین، یک تشخیص دقیق توسط متخصص ارتوپد، اولین و مهمترین گام در تعیین یک برنامه درمانی واقعبینانه و پیشبینی مدتزمان تقریبی بهبودی است.
بررسی روشهای درمانی و تأثیر آنها بر طول دوره درمان
روشهای درمانی پای پرانتزی به دو دسته اصلی تقسیم میشوند: غیرجراحی (محافظهکارانه) و جراحی. هر یک از این روشها جدول زمانی متفاوتی برای دستیابی به نتایج مطلوب دارند و انتخاب آنها به عواملی مانند سن بیمار، شدت و علت بیماری بستگی دارد. روشهای غیرجراحی معمولاً برای کودکان و موارد خفیف تا متوسط در نظر گرفته میشوند و نیازمند صبر و پیگیری طولانیمدت هستند. این روشها شامل فیزیوتراپی، تمرینات ورزشی اصلاحی و استفاده از بریس یا کفی طبی است. این مداخلات به تدریج و با هدف تقویت عضلات و اصلاح الگوی راه رفتن، به همترازی استخوانها کمک میکنند. به همین دلیل، مدتزمان درمان با این روشها میتواند از چند ماه تا چند سال متغیر باشد.
از سوی دیگر، جراحی یک راه حل سریعتر اما تهاجمیتر برای اصلاح پای پرانتزی است که معمولاً در موارد شدید، زمانی که روشهای غیرجراحی موفقیتآمیز نبودهاند، یا در بزرگسالان استفاده میشود. هدف اصلی جراحی، تغییر جهت استخوانهای ران یا ساق پا برای اصلاح انحراف است. اگرچه خود عمل جراحی ممکن است تنها چند ساعت طول بکشد، اما دوره نقاهت و بهبودی پس از آن میتواند چندین ماه به طول بینجامد. بیمار باید پس از جراحی، دورهای از گچگیری، استفاده از بریس یا فیزیوتراپی را بگذراند تا استخوانها به درستی جوش خورده و قدرت عضلانی بازگردد. بنابراین، در حالی که جراحی به طور مستقیم انحراف را اصلاح میکند، اما فرآیند کلی بهبودی میتواند زمانبر باشد.
درمان غیرجراحی: فیزیوتراپی و کفیهای طبی

فیزیوتراپی یکی از ارکان اصلی درمان غیرجراحی پای پرانتزی، به ویژه در موارد خفیف تا متوسط است. این روش بر تقویت عضلات خاصی در پاها، رانها و لگن تمرکز دارد که به پایداری مفصل زانو و اصلاح تدریجی همراستایی استخوانها کمک میکنند. فیزیوتراپیست با استفاده از تمرینات تخصصی، الگوی راه رفتن بیمار را بررسی و اصلاح میکند. این فرآیند یک شبه اتفاق نمیافتد و نیازمند پیگیری منظم و انجام تمرینات در خانه است. معمولاً بیماران باید چندین ماه، و گاهی حتی یک تا دو سال، به صورت منظم به جلسات فیزیوتراپی مراجعه کنند تا بهبودی چشمگیری حاصل شود. مدت دقیق درمان با فیزیوتراپی به میزان همکاری بیمار، شدت انحراف و سن او بستگی دارد.
استفاده از کفیهای طبی (Orthotic Insoles) و بریسها نیز یکی دیگر از روشهای موثر در درمان غیرجراحی است که به طور خاص برای کودکان در حال رشد به کار میرود. این ابزارها با اعمال فشار ملایم و تدریجی، استخوانها را به سمت همراستایی صحیح هدایت میکنند. استفاده از این وسایل باید به صورت مداوم و برای مدت زمان طولانی انجام شود. والدین باید اطمینان حاصل کنند که کودک به طور منظم و طبق دستور پزشک از بریس یا کفی استفاده میکند. مدتزمان استفاده از این وسایل میتواند از یک تا سه سال یا بیشتر متغیر باشد و در طول این مدت، پزشک به طور دورهای وضعیت رشد و انحراف را بررسی میکند تا از پیشرفت درمان اطمینان حاصل شود.
درمان با ورزش: تمرینات کلیدی و زمانبندی
تمرینات ورزشی هدفمند و اصلاحی، بخش جداییناپذیری از برنامه درمانی پای پرانتزی هستند و نقش بسزایی در بهبود وضعیت بیمار دارند. این تمرینات باید به صورت منظم و تحت نظر یک متخصص فیزیوتراپی انجام شوند. در ادامه ی مقاله ی درمان پای پرانتزی چقدر طول میکشد ؟ به برخی از تمرینات کلیدی اشاره میکنیم:
- تقویت عضلات چهارسر ران: تمریناتی مانند بالا بردن پا در حالت نشسته یا درازکش، به تقویت عضلات جلوی ران کمک میکنند. این عضلات برای پایداری زانو حیاتی هستند.
- تقویت عضلات همسترینگ و باسن: تمریناتی مانند پل باسن و لانگز، عضلات پشتی ران و باسن را که نقش مهمی در کنترل حرکت زانو دارند، تقویت میکنند.
- تمرینات تعادل و راه رفتن: تمریناتی مانند ایستادن روی یک پا، راه رفتن روی خط مستقیم یا راه رفتن روی پنجه و پاشنه، به بهبود الگوی راه رفتن و توزیع وزن بدن کمک میکند.
- حرکات کششی: کشش عضلات سفت و کوتاه شده مانند عضلات داخلی ران، میتواند به اصلاح همراستایی پاها کمک کند.
مدتزمان تأثیرگذاری این تمرینات به شدت به میزان تعهد و مداومت بیمار بستگی دارد. معمولاً نتایج اولیه پس از چند ماه قابل مشاهده هستند، اما برای بهبودی کامل و پایدار، باید این تمرینات را به صورت روتین و طولانیمدت (معمولاً حداقل یک سال) ادامه داد.
معرفی خدمات تخصصی اورتومونتو در درمان پای پرانتزی
برند ارتومونتو با هدف ارائهی تخصصیترین خدمات در حوزهی طراحی و تولید انواع اورتز و پروتز و تلفیقش با علم تمرین درمانی (حرکات اصلاحی) تأسیس شده است. ما با تکیه بر دانش روز، ارزیابیهای دقیق فنی، و بهرهگیری از متریالهای مدرن، تلاش میکنیم بهترین راهحلهای توانبخشی و مکانیکی را برای ارتقاء کیفیت زندگی افراد فراهم کنیم.
🛠️ حوزه خدمات ارتومونتو فنی
ما در ارتومونتو فنی به دو حوزهی اصلی زیر میپردازیم:
- بخش اورتز
ارائه انواع بریسها، اسپیلینتها و ساپورتهای ارتوپدی برای حمایت، اصلاح یا کنترل حرکت اندامها. موارد استفاده رایج:
- زانوبند برای زانو پرانتزی
- کمربندهای طبی برای اسکولیوز یا کمردرد
- مچبند و آرنجبند برای التهابهای مفصلی
- بخش پروتز
ساخت اندامهای مصنوعی بالا و پایینتنه جهت جایگزینی اندام از دسترفته. تمرکز ما بر روی تطابق کامل با بیومکانیک بدن، راحتی بیمار، و زیبایی ظاهری پروتز است.
🔄 ترکیب خدمات با حرکات اصلاحی و تمریندرمانی
یکی از وجه تمایزهای ارتومونتو، تلفیق دانش حرکات اصلاحی و تمریندرمانی با مداخلات فنی است. ما معتقدیم تنها استفاده از اورتز یا پروتز، پاسخگوی نیاز بیماران نیست. بنابراین با طراحی برنامههای اختصاصی تمریندرمانی برای هر فرد، فرآیند درمان را کاملتر و مؤثرتر میکنیم.
نمونهها:
- فرد دارای کف پای صاف → کفی طبی + تمرینات اصلاحی تقویت قوس داخلی
- زانو پرانتزی → زانوبند ویژه + تمرینات تقویت عضلات داخلی ران
- کایفوز پشتی → بریس اصلاحی + تمرینات افزایش انعطافپذیری ستون فقرات
جراحی: گزینهای برای موارد شدید

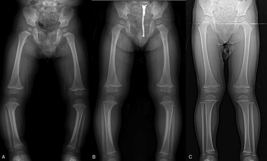
در مواردی که انحراف پای پرانتزی بسیار شدید است، به درمانهای غیرجراحی پاسخ نمیدهد یا ناشی از یک بیماری زمینهای خاص است، جراحی به عنوان مؤثرترین راه حل در نظر گرفته میشود. جراحیهای رایج برای اصلاح پای پرانتزی شامل استئوتومی (Osteotomy) و رشد هدایتشده (Guided Growth) هستند. استئوتومی که برای بزرگسالان و نوجوانان با رشد کامل اسکلتی مناسب است، شامل برش و تغییر شکل استخوان ساق پا یا ران برای همراستایی صحیح آن است. پس از جراحی، بیمار باید از گچ یا بریس استفاده کند و دوره نقاهت چند ماهه را طی کند.
روش رشد هدایتشده، یک تکنیک جراحی کمتر تهاجمی است که به طور اختصاصی برای کودکان و نوجوانان در حال رشد استفاده میشود. در این روش، پزشک صفحات فلزی کوچکی را در نزدیکی زانو، در سمتی که رشد سریعتر است، قرار میدهد. این صفحات به صورت موقت رشد آن بخش از استخوان را کند میکنند و به سمت دیگر اجازه میدهند تا رشد کرده و به تدریج انحراف را اصلاح کند. این فرآیند ممکن است چندین ماه تا یک یا دو سال طول بکشد تا بهبودی کامل حاصل شود، اما به دلیل ماهیت کمتر تهاجمی، دوره بهبودی پس از برداشتن صفحات فلزی کوتاهتر است. به هر حال، هر دو روش جراحی، زمانبر بوده و نیاز به پیگیری و مراقبتهای پس از عمل دارند.
تفاوت مدت درمان در کودکان و بزرگسالان
یکی از حیاتیترین عوامل در پاسخ به این سوال که درمان پای پرانتزی چقدر طول میکشد؟، سن بیمار است. این تفاوت به ماهیت استخوانها و فرآیند رشد در هر گروه سنی بازمیگردد. در کودکان، استخوانها و صفحات رشد (Epiphyseal Plates) هنوز نرم و انعطافپذیر هستند. این انعطافپذیری به پزشکان این امکان را میدهد که با استفاده از روشهای غیرتهاجمی مانند فیزیوتراپی، تمرینات اصلاحی و بریسها، به تدریج همراستایی استخوانها را تصحیح کنند. این فرآیند ممکن است چند ماه تا چند سال طول بکشد، اما در بسیاری از موارد منجر به بهبودی کامل میشود و نیاز به جراحی را از بین میبرد. پیگیری منظم و تشخیص به موقع در این گروه سنی اهمیت بسیار زیادی دارد.
در مقابل، در بزرگسالان، صفحات رشد استخوانی کاملاً بسته شدهاند و استخوانها به سختی و پایداری کامل رسیدهاند. این بدان معناست که دیگر امکان اصلاح انحراف با روشهای غیرجراحی وجود ندارد و برای هرگونه بهبودی چشمگیر، نیاز به جراحی استئوتومی است. همانطور که پیشتر گفته شد، جراحی نیازمند دوره نقاهت طولانی است که شامل گچگیری، فیزیوتراپی و بهبودی تدریجی است. این فرآیند معمولاً چند ماه به طول میانجامد تا بیمار بتواند به فعالیتهای روزمره خود بازگردد. بنابراین، در حالی که در کودکان هدف «هدایت رشد» است، در بزرگسالان هدف «اصلاح ساختاری» است که به طور طبیعی زمان و تلاش بیشتری را میطلبد.
نقش تغذیه و سبک زندگی در روند درمان
علاوه بر روشهای درمانی اصلی، عوامل دیگری مانند تغذیه و سبک زندگی نیز نقش مهمی در تسریع روند بهبودی و پیشگیری از عود بیماری دارند:
- تغذیه سالم: مصرف کافی ویتامین D و کلسیم برای سلامت استخوانها ضروری است. کمبود این مواد مغذی میتواند عامل زمینهای در بروز پای پرانتزی (مانند بیماری ریکتز) باشد.
- حفظ وزن مناسب: اضافه وزن فشار زیادی را بر مفاصل زانو و مچ پا وارد میکند که میتواند انحراف را تشدید کرده و روند درمان را کند کند. کاهش وزن میتواند به طور چشمگیری فشار را کم کرده و به بهبودی کمک کند.
- ورزش منظم: فعالیت بدنی مناسب، به خصوص تمرینات تقویتکننده عضلات پا و هسته بدن، میتواند پایداری مفصل زانو را افزایش داده و از بازگشت انحراف جلوگیری کند.
این عوامل حمایتی، در کنار درمان اصلی، میتوانند به شما در دستیابی به نتایج بهتر در مدتزمان کوتاهتر کمک کنند.
انتظارات واقعبینانه از روند درمان

موفقیت در درمان پای پرانتزی نیازمند صبر، پیگیری مداوم و داشتن انتظارات واقعبینانه است. این یک فرآیند تدریجی است و نتایج به سرعت ظاهر نمیشوند. بیماران باید آمادگی داشته باشند که برای ماهها یا حتی سالها به توصیههای پزشک خود عمل کنند. مشاهده پیشرفت تدریجی در یک بازه زمانی طولانی، بسیار مهمتر از انتظار برای یک تغییر ناگهانی است. پایبندی به برنامه درمانی، انجام منظم تمرینات و شرکت در جلسات فیزیوتراپی، کلید موفقیت در این مسیر است. هرگونه سهلانگاری میتواند روند بهبودی را به تأخیر بیندازد یا حتی منجر به عود بیماری شود.
همکاری نزدیک با تیم درمانی، از جمله پزشک ارتوپد و فیزیوتراپیست، ضروری است. در طول درمان، ممکن است نیاز به تنظیم برنامه درمانی یا تغییر در تمرینات باشد. با پرسیدن سوال و به اشتراک گذاشتن پیشرفتها یا مشکلات خود با متخصصان، میتوانید اطمینان حاصل کنید که در مسیر درستی قرار دارید. در نهایت، باید به خاطر داشته باشید که بدن هر فرد منحصر به فرد است و سرعت بهبودی از یک نفر به دیگری متفاوت است. بنابراین، مقایسه روند درمان خود با دیگران اغلب سودمند نیست و میتواند منجر به ناامیدی شود.
درمان پای پرانتزی چقدر طول میکشد؟ یک پاسخ جامع
در پاسخ به این سوال کلیدی که درمان پای پرانتزی چقدر طول میکشد؟ باید گفت که مدتزمان آن به شدت وابسته به شرایط بیمار و روش انتخابی درمان است. برای کودکان، در موارد خفیف تا متوسط، ممکن است تنها چند ماه فیزیوتراپی و تمرینات اصلاحی کافی باشد. در موارد شدیدتر یا با استفاده از بریسها، این دوره ممکن است تا یک یا دو سال طول بکشد تا همراستایی کامل حاصل شود. در بزرگسالان، که تنها گزینه درمانی موثر، جراحی استئوتومی است، دوره نقاهت اولیه چند ماه طول میکشد، اما بهبودی کامل و بازگشت به عملکرد طبیعی ممکن است تا یک سال نیز زمان ببرد.
به طور خلاصه، هیچ جدول زمانی ثابتی وجود ندارد، و پزشک متخصص تنها کسی است که میتواند با ارزیابی دقیق شرایط شما، یک تخمین واقعبینانه ارائه دهد. مهمترین نکته این است که درمان را به موقع آغاز کنید و با صبر و پشتکار به توصیههای درمانی پایبند باشید تا به بهترین نتایج دست یابید.
جمعبندی : درمان پای پرانتزی چقدر طول میکشد ؟
همانطور که در مقاله ی درمان پای پرانتزی چقدر طول میکشد ؟ به تفصیل توضیح داده شد، مدتزمان درمان پای پرانتزی تحت تأثیر عوامل مختلفی از جمله سن بیمار، شدت انحراف، علت زمینهای و روش درمانی انتخابشده قرار دارد. در حالی که در کودکان با استفاده از مداخلات غیرتهاجمی و با توجه به انعطافپذیری استخوانها، میتوان به بهبودی کامل در مدتزمان نسبتاً کوتاهی دست یافت، در بزرگسالان، روند درمانی پیچیدهتر و زمانبرتر است و اغلب نیازمند جراحی است. تشخیص بهموقع و شروع زودهنگام درمان، به ویژه در کودکان، میتواند به طور چشمگیری طول دوره درمان را کاهش دهد.
در نهایت، مهمترین پیام این مقاله این است که هرچند پاسخ مشخصی برای مدتزمان دقیق درمان وجود ندارد، اما با تعهد به برنامه درمانی، صبر و همکاری نزدیک با پزشک و فیزیوتراپیست، میتوان به نتایج بسیار مثبتی دست یافت. برای شناخت دقیقتر وضعیت خود و دریافت یک برنامه درمانی جامع که شامل اسکن سه بعدی کف پا، استفاده از اورتز و خدمات تمرین درمانی باشد، از متخصصان ارتوپدی فنی کمک بگیرید.

دکتر امیررضا منتظری، ارتزیست و پروتزیست با بیش از ۸ سال تجربه تخصصی در حوزه بیومکانیک پا، طراحی ارتز و پروتزهای طبی است.
ایشان مؤسس و مدیر مجموعه ارتومونتو بوده و بهعنوان نویسنده و ناظر علمی مقالات این وبسایت فعالیت دارند.
مشاهده پروفایل کامل دکتر منتظری →
