درمان تخصصی قوز جانبی یا اسکولیوز در اورتومونتو: بازگشت به ستون فقراتی سالم و زیبا
کاربر محترم،
لطفاً جهت هماهنگی و رزرو نوبت خودجهت درمان قوز جانبی، از طریق اطلاعات تماس موجود در سایت با ما در ارتباط باشید یا در صفحه رزرو نوبت آنلاین فرم مربوطه را با دقت تکمیل نمایید. پس از ثبت اطلاعات، کارشناسان مجموعه اورتومونتو در اسرع وقت با شما تماس خواهند گرفت تا ضمن بررسی نیازهای درمانی شما، مناسبترین زمان مراجعه را هماهنگ کنند.
تضمین ما، ارائه خدمات تخصصی و برنامهریزی دقیق جهت رفاه حال شماست.
جهت رزرو نوبت تلفنی نیز میتوانید با شماره 09127318160 در تماس باشید .
قوز جانبی (اسکولیوز)
سلامتی ستون فقرات شما، اولویت ماست!
آیا شما یا عزیزانتان با ناهنجاری قوز جانبی (اسکولیوز) دست و پنجه نرم میکنید؟ اسکولیوز یا انحراف جانبی ستون فقرات، یک عارضه جدی است که اگر به موقع و به شکل تخصصی درمان نشود، میتواند کیفیت زندگی فرد را به شدت تحت تأثیر قرار دهد. اما خبر خوب اینجاست: در کلینیک ارتوپدی فنی اورتومونتو، ما با تکیه بر دانش روز دنیا و فناوریهای پیشرفته، بهترین و مؤثرترین راهکارهای درمان غیر جراحی اسکولیوز را به شما ارائه میدهیم.
شرح اختلال
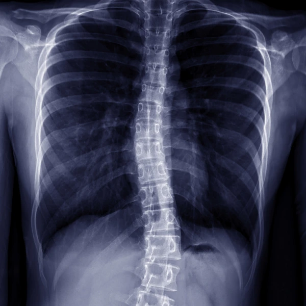
اسکولیوز یا قوز جانبی یک ناهنجاری اسکلتی است که با انحراف جانبی ستون فقرات به یک طرف بدن مشخص میشود. این انحراف به شکل غیرطبیعی ستون فقرات، آن را شبیه حرف انگلیسی “C” یا در موارد پیچیدهتر، شبیه حرف “S” میکند. این خمیدگی غیرعادی اغلب با چرخش مهرهها (Rotation) همراه است و موجب برآمدگی دندهها یا عدم تقارن در شانهها و لگن میشود. هرچند این عارضه در هر سنی ممکن است رخ دهد، اما شایعترین نوع آن یعنی اسکولیوز ایدیوپاتیک نوجوانان، در دوران بلوغ و رشد سریع مشاهده میشود که نیازمند توجه و تشخیص سریع است.
این اختلال نه تنها میتواند بر ظاهر فیزیکی و وضعیت قامت فرد تأثیر بگذارد، بلکه در موارد شدیدتر، ممکن است به عملکرد ریهها و قلب فشار وارد کرده و باعث درد مزمن شود. در کلینیک ارتوپدی فنی اورتومونتو، ما اهمیت این تشخیص زودهنگام را درک میکنیم و بر این باوریم که با اقدامات درمانی تخصصی و غیر جراحی مانند استفاده از بریسهای سفارشی در زمان مناسب، میتوان پیشرفت این انحراف را به طور مؤثری کنترل و تا حد زیادی اصلاح نمود و از جراحیهای بزرگ پیشگیری کرد.
بازگشت به تعادل و رهایی از دغدغه: نیازهای کلیدی شما در درمان اسکولیوز
مواجهه با تشخیص اسکولیوز یا زندگی در سایه انحراف ستون فقرات میتواند دغدغههای جدی برای فرد و خانوادهاش ایجاد کند. مهمترین هدف و نیاز یک فرد مبتلا، دستیابی به اصلاح یا کنترل انحراف ستون فقرات است تا از پیشرفت بیماری جلوگیری شده و کیفیت زندگی حفظ گردد. این تنها یک هدف فیزیکی نیست، بلکه یک نیاز عمیق به بازیابی اعتماد به نفس، کاهش دردهای احتمالی و اطمینان از یک آیندهای بدون محدودیتهای جسمی جدی است. اینجاست که نقش یک مرکز تخصصی مانند کلینیک ارتوپدی فنی اورتومونتو پررنگ میشود، زیرا ما میدانیم که رسیدگی دقیق و علمی به این نیاز حیاتی، کلید موفقیت درمانی شماست.
در اورتومونتو، ما بر این تمرکز داریم که با ارائه ابزارهای درمانی پیشرفته، از جمله بریسهای اسکولیوز سفارشی با تکنولوژی روز، شما را در رسیدن به هدف کنترل انحراف یاری کنیم. هدف ما صرفاً ساختن یک ارتز نیست؛ بلکه ارائه یک برنامه جامع است که آسایش روانی و جسمی شما را تضمین کند. شما نیازمند روشی هستید که بدون نیاز به جراحی، مسیر رشد طبیعی ستون فقرات را اصلاح کند و ما متعهد هستیم که این تجربه را با استفاده از بهترین متریال و دقیقترین طراحیها برای شما فراهم سازیم تا بتوانید با اطمینان کامل به زندگی روزمره خود ادامه دهید و نگران پیشروی این انحراف ستون فقرات نباشید.
علاوه بر اصلاح یا کنترل انحراف، یکی دیگر از نیازهای ضروری در مسیر درمان اسکولیوز، حفظ تقارن عضلانی و تقویت عضلات عمقی ستون فقرات است. انحراف جانبی باعث میشود که عضلات یک سمت بدن بیش از حد کشیده و ضعیف شوند، در حالی که عضلات سمت دیگر کوتاه و سفت باقی میمانند. این عدم تعادل، خود میتواند به پیشرفت انحراف کمک کند و منجر به درد و محدودیت حرکتی شود. به همین دلیل، در کلینیک ارتوپدی فنی اورتومونتو، ما پس از تجویز بریس اسکولیوز، برنامههای ورزشی و تمرینات اصلاحی ویژهای را توصیه میکنیم تا ضمن حمایت بریس از ستون فقرات، فرد با تقویت هدفمند عضلات، تعادل و پایداری لازم را در تنه خود به دست آورد و نتیجه درمان به شکل پایدار حفظ شود.
خدمات ارتوپدی فنی اورتومونتو: راهکارهای بهینه و تخصصی برای درمان اسکولیوز
در کلینیک ارتوپدی فنی اورتومونتو، ما متعهد به ارائه بهترین و بهروزترین راهکارهای درمانی برای اسکولیوز هستیم. انتخاب روش درمانی، کاملاً به شدت انحراف و سن بیمار بستگی دارد. ما با بهرهگیری از تجربه متخصصین خود و استفاده از تکنولوژیهای پیشرفته، دو نوع از مؤثرترین بریسهای اصلاحی را برای شما طراحی و تولید میکنیم: بریس میلواکی (Milwaukee Brace) و بریسهای اصلاحی مخصوص انحرافات خفیف تا متوسط.
بریس میلواکی (Milwaukee Brace): این بریس که در گذشته برای درمان انحرافات شدید و بالا (در ناحیه سینهای و گردنی) استفاده میشد، یک بریس CTLSO (Cervical-Thoracic-Lumbar-Sacral Orthosis) است که از گردن تا لگن را پوشش میدهد و نیروی اصلاحی قویتری را اعمال میکند. در حال حاضر، این بریس با طراحیهای مدرنتر و وزن کمتر در موارد خاص و نادر که انحراف در بالای ستون فقرات قرار دارد، به کار میرود تا نیاز به جراحیهای پیچیده را از بین ببرد و به کنترل انحراف ستون فقرات کمک کند.
بریسهای بستن مخصوص انحراف خفیف تا متوسط (بریسهای سینه و کمری – TLSO): بخش عمده درمانهای ما بر بریسهای سینه و کمری مانند بریس شنو (Cheneau Brace) تمرکز دارد. این نوع بریسها، که برای درمان انحرافات خفیف تا متوسط (معمولاً بین ۲۵ تا ۴۵ درجه) کاربرد دارند، در زیر لباس قابل استفاده بوده و آزادی حرکت بیشتری را فراهم میسازند. تیم اورتومونتو با استفاده از اسکن سهبعدی، دقیقترین قالبگیری و طراحی را برای ساخت این بریسها انجام میدهد تا اطمینان حاصل شود که نیروی اصلاحی بهینه و سفارشی به نقاط دقیق انحراف وارد شده و بیشترین تأثیر را در اصلاح یا کنترل انحراف اسکولیوز داشته باشد.
خدمات تمرین درمانی: تکمیلکننده درمان بریس در اورتومونتو
در کلینیک ارتوپدی فنی اورتومونتو، ما میدانیم که موفقیت کامل در درمان اسکولیوز تنها با استفاده از بریس حاصل نمیشود؛ بلکه نیازمند یک برنامه جامع تمرین درمانی است. ما با طراحی تمرینات تخصصی، به شما کمک میکنیم تا ضمن استفاده از بریس اسکولیوز، بدن خود را از درون نیز برای اصلاح قامت آماده سازید. این برنامه شامل مجموعهای از تمرینات کلیدی زیر است:
تمرینات کششی و تقویتی دوطرفه: هدف از این تمرینات، بازیابی تقارن عضلانی و از بین بردن عدم تعادلی است که در اثر انحراف ستون فقرات ایجاد شده است. ما با تجویز تمرینات کششی هدفمند برای عضلات سفت و کوتاه شده و تمرینات تقویتی برای عضلات ضعیف شده در طرف مقابل، به تثبیت ستون فقرات در حالت اصلاح شده کمک میکنیم. این تمرینات دقیق، ستون فقرات را برای حمایت بهتر از وضعیت جدید آماده میسازند.
تمرینات تنفسی اصلاحی: به دلیل چرخش مهرهها در اسکولیوز، شکل قفسه سینه تغییر کرده و ظرفیت تنفسی ممکن است کاهش یابد. تمرینات تنفسی تخصصی ما با هدف بازگرداندن تقارن و افزایش حجم ریهها در قسمتهای فشرده شده، به بهبود سلامت کلی و کیفیت زندگی فرد کمک شایانی میکند.
تمرین اصلاح الگوی نشستن و ایستادن: بخش مهمی از برنامه ما، آموزش اصلاح الگوهای حرکتی روزمره است. ما به شما میآموزیم که چگونه الگوی صحیح نشستن، ایستادن و حتی خوابیدن را در زندگی روزمره خود اجرا کنید تا فشار کمتری به ستون فقرات وارد شود. این آموزشها در کنار بریس، یک ستون فقرات سالم را تضمین میکند. ما در اورتومونتو با ارائه این خدمات کامل، متعهد به ارتقاء سلامت بلندمدت شما هستیم.
گام اول برای قامتی صاف و زندگی بدون دغدغه: همین حالا مشاوره تخصصی خود را در اورتومونتو رزرو کنید!
اگر شما یا عزیزانتان با چالش قوز جانبی (اسکولیوز) روبرو هستید، زمان را از دست ندهید. تشخیص و اقدام درمانی بهموقع، بهویژه در دوران رشد، کلید دستیابی به بهترین نتایج و پیشگیری قطعی از نیاز به جراحیهای پیچیده در آینده است. در کلینیک ارتوپدی فنی اورتومونتو، ما با تیمی متخصص، جدیدترین فناوریهای اسکن سهبعدی ستون فقرات و ساخت بریسهای اسکولیوز سفارشی (مانند بریس شنو)، آمادهایم تا یک برنامه درمانی جامع و شخصیسازی شده را تنها برای شما طراحی کنیم. سلامتی ستون فقرات شما یک سرمایهگذاری است و ما تضمین میکنیم که با انتخاب اورتومونتو، بهترین مسیر درمان غیر جراحی اسکولیوز را انتخاب کردهاید.
آیندهای که در آن با اعتماد به نفس و قامتی صاف میایستید، تنها با یک کلیک فاصله دارد. همین امروز با ما تماس بگیرید یا از طریق فرم موجود در سایت، نوبت مشاوره و ارزیابی تخصصی رایگان خود را رزرو کنید. اجازه ندهید انحراف ستون فقرات مسیر زندگی شما را خم کند؛ ما در اورتومونتو اینجا هستیم تا با تخصص و تعهد کامل، شما را در اصلاح یا کنترل انحراف یاری کنیم. اورتومونتو: تخصص، تعهد و تضمین برای قامتی متعادلتر.
[جهت دریافت مشاوره روی دکمه باکس زیر کلیک نمایید]
دیگر درد را تحمل نکنید!
همین امروز با اورتومونتو تماس بگیرید و گامی بلند به سوی زندگی بدون درد و پر از تحرک بردارید. کارشناسان ما آماده پاسخگویی به سوالات شما و رزرو وقت مشاوره هستند.
مشاوره تخصصی
متخصص و مجرب
تشخیص دقیق
درمان موثر
محیط آرام
برای راحتی بیماران.

دکتر امیررضا منتظری، ارتزیست و پروتزیست با بیش از ۸ سال تجربه تخصصی در حوزه بیومکانیک پا، طراحی ارتز و پروتزهای طبی است.
ایشان مؤسس و مدیر مجموعه ارتومونتو بوده و بهعنوان نویسنده و ناظر علمی مقالات این وبسایت فعالیت دارند.
مشاهده پروفایل کامل دکتر منتظری →